インプラント症例紹介
いのうえまさとし歯科医院で治療を受けられた患者様の症例写真です。
治療をご検討の方や治療を受けるかどうか、悩まれている方はぜひご覧ください。
インプラント治療の場合、部位や本数、目的によって治療法や治療期間、費用が大きく異なります。
※写真は全て当院で治療を完了したもので、掲載の許可を頂いた患者様のものです。
※治療内容、治療結果は各患者様固有のもので、他の方への治療結果を保証するものではありません。
| インプラント | 23歳 女性 |
|---|---|
| 主訴 | 歯根破折の為に、保存が困難な歯をインプラントにしたい。 前歯なので綺麗で自然な見た目にしてほしい。インプラントを希望されて紹介による来院 |
| 治療内容 |
インプラント埋入(上顎前歯1本) 【上顎右側切歯】 インプラントを埋入しました。 歯肉が薄い方の場合、インプラントの金属の色が透けて歯茎が黒ずんで見える事があります。治療後に歯茎が黒ずんで見えるのを防ぐために、審美性を考慮してゴールドアバットメントを作製しました。 上部構造をセットして、紹介医院でメンテナンスを開始 |
| 治療結果 |
術後の腫れも無く、経過は良好です。 隣の歯と違和感のない、天然歯の様な見た目と噛み心地に満足してい ただけました。 |
| 治療期間 | 7ヶ月 |
| 治療費用 | 66万円(税込) |
-
治療前
-
治療後
-
治療前
-
治療後
-
ゴールドアバットメント
-
セラミッククラウン
| インプラント | 51歳 女性 |
|---|---|
| 主訴 |
奥歯が無いので、食事が美味しくない。 しっかりと奥歯で食事がしたいのでインプラントを希望。 |
| 治療内容 |
インプラント埋入(下顎奥歯2本、上顎奥歯1本) 【下顎左側第一大臼歯、第二大臼歯】 他院で抜歯されたままの奥歯2本にインプラントを埋入しました。 【上顎右側第一小臼歯】 他院で抜歯後に両端の歯に接着されていた仮歯を取り外してインプラントを埋入しました。 |
| 治療結果 |
しっかり噛めるので何でも食べられると喜んで頂きました。 メンテナンスに継続して来院頂き、手術後7年以上経過していますが、インプラントの状態は良好です。 |
| 治療期間 | 5ヶ月 |
| 治療費用 | 145万円(税込) |
| リスク | 術後の痛み、腫れ。 |
-
治療前 下顎
-
治療後 下顎
-
治療前
-
治療後
-
7年後
術後7年が経過していますが、インプラントの状態は良好です。 また、最初の手術の3年後に、左側上顎第一、第二大臼歯部にソケットリフト法を併用して埋入したインプラントも順調です。
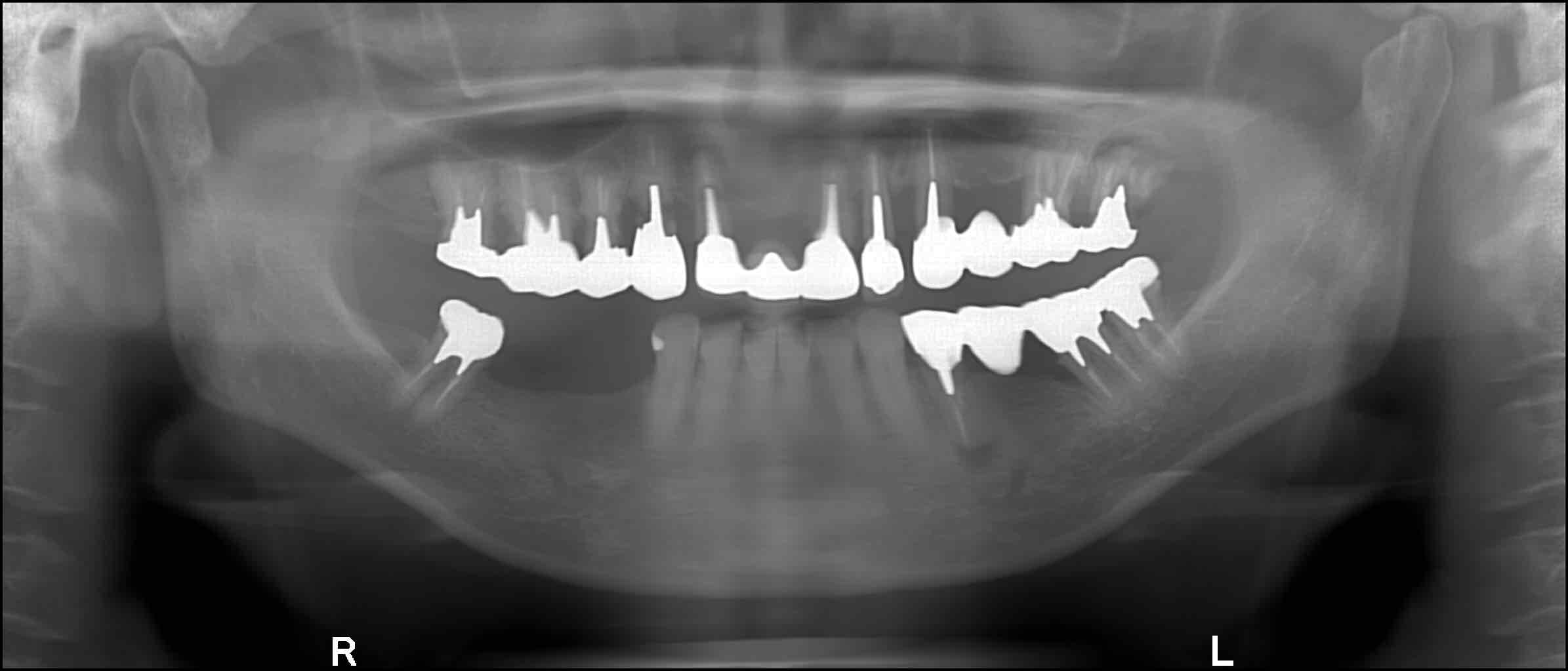
| インプラント | 50歳代 女性 |
|---|---|
| 主訴 |
上顎の歯がすべてぐらぐらして食事が出来ない。 インプラントを希望されて来院される。 |
| 治療内容 |
【上顎】 ノーベルガイドを利用してインプラントを6本、埋入。 IPインプラントを使用して、手術直後に仮歯を装着。 【下顎】 左下臼歯部にインプラントを2本、埋入。 |
| 治療結果 |
メンテナンスに継続して来院頂き、手術後12年以上経過していますが、インプラントの状態は良好です。 |
| 治療期間 | 7ヶ月 |
| 治療費用 |
上顎 420万円(税込) 下顎 140万円(税込) |
| リスク | 術後の痛み、腫れ。 |
-
治療前
-
ノーベルガイド設計
-
治療後
-
治療4年後
-
治療前
-
治療後
-
治療12年後
術後12年が経過していますが、インプラントの状態は良好です。
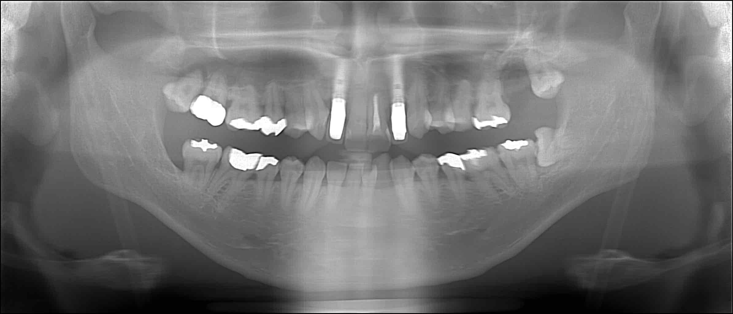
| インプラント | 50歳代 女性 |
|---|---|
| 主訴 |
上顎の入れ歯が合わなくなって、他の歯もぐらぐらして噛めない。 残せる歯は残して、しっかり食べられる様にして欲しい。 歯の無い状況は避けたいので、手術後に仮歯を付けて欲しい。 |
| 治療内容 |
ノーベルガイドによるインプラント埋入(上顎7本) インプラント埋入(下顎 左右臼歯4本) 【上顎】 (治療方針) 動揺の激しい歯牙を抜去 右上6番から左上7番までインプラントを埋入。左上7番は翼状突起インプラントを行う。 抜歯した部位は抜歯即時埋入を行う。 仮歯をつける即時負荷を行う。 (治療計画) ノーベルガイドを利用して、外科的侵襲を抑える。 右側上顎洞はサイナスリフトではなくソケットリフトによる、侵襲を抑えた骨造成術を行う。 左側上顎洞、下顎オトガイ神経の回避。 【下顎】 臼歯(奥歯)はノーベルガイドを使用すると、術中に大きく開口するのは患者様に負担であるため、通常のインプラント手術を行った。 |
| 治療結果 |
手術当日に仮歯を装着、帰宅後の食事も問題なくとって頂けました。 最終の見た目にも満足していただけました。 手術後10年以上経過していますが、全てのインプラントが機能しています。 |
| 治療期間 | 5ヶ月 |
| 治療費用 |
上顎7本 340万円(税込) 下顎4本 189万円(税込) |
| リスク | 術後の痛み、腫れ。 |
-
上顎治療前
-
ノーベルガイド設計
-
上顎手術後当日 即時負荷後の仮歯
-
上顎治療後 最終上部構造装着
-
下顎治療前
-
下顎治療後
-
治療前
-
治療後
-
治療10年後 レントゲン
術後10年が経過していますが、インプラントの状態は良好です。
| インプラント | 25歳 男性 |
|---|---|
| 主訴 |
コンタクトスポーツにより、上顎の左右側切歯に動揺があり、咬合時に痛みがある。 |
| 治療内容 |
インプラント埋入(上顎左右側切歯、2本) 【上顎右側側切歯】 歯根嚢胞と遠心に骨欠損が認められた。患者様の希望により、インプラント治療を行うことになった。 インプラント埋入時に、下顎の親知らず側方より骨を採取して骨移植を行った。 【上顎左側側切歯】 インプラント埋入 |
| 治療結果 |
骨移植によって機能性と審美性に優れたインプラント治療ができました。 メンテナンスに継続して来院頂き、手術後10年以上経過していますが、インプラントの状態は良好です。 |
| 治療期間 | 7ヶ月 |
| 治療費用 | 126万円(税込) |
| リスク | 術後の痛み、腫れ。 |
-
手術前
-
手術後
-
術中 骨移植
-
手術前
-
手術後
-
10年後
術後10年が経過していますが、インプラントの状態は良好です。
ザイゴマインプラントよりも低侵襲な翼状突起インプラント
京都市左京区 60歳代 ⼥性 インプラント(上顎6本)
術式; 翼状突起(上顎結節・翼状突起部)を利⽤したノーベルガイド、オール・オン6、即時負荷
一般的に上顎洞周囲の骨量が少ない場合には、眼下の頬骨弓を露出させるザイゴマインプラントを行う事がありますが、当院では手術による傷口が少ない翼状突起インプラントを選択する事が多いです。
CTによってノーベルガイドを設計して血管が密集している危険部位を避け安全に低侵襲でインプラントを埋入します。
またザイゴマインプラントでは不可能な第二大臼歯を作る事が出来ますので、しっかり奥歯で噛むことができます。
《翼状突起インプラントのメリット》
◎ザイゴマインプラントより傷口が小さいので痛みが少なく、回復が早い。
◎ザイゴマインプラントよりも奥歯でしっかり噛める。
| インプラント | 60歳代 女性 |
|---|---|
| 主訴 |
残根上に総義歯を装着しているが、会話や食事が不自由である。 |
| 治療内容 |
【上顎】 |
| 治療結果 |
メンテナンスに継続して来院頂き、⼿術後15年以上経過していますが、インプラントの状態は良好です。 |
| 治療期間 | 7ヶ月 |
| 治療費用 | 上顎 300万円(税込) |
| リスク | 術後の痛み、腫れ。 |
-
術前 上顎
-
最終補綴物 正面
-
ノーベルガイド
-
初診時 レントゲン

-
治療後 レントゲン
術後15年以上が経過していますが、インプラントの状態は良好です。
| インプラント | 40歳代 女性 |
|---|---|
| 主訴 |
上下顎の歯が少なくなって、残っている歯も全てぐらぐらして食事が出来ない。 |
| 治療内容 |
インプラント埋入(下顎4本、上顎6本) 【下顎】 【上顎】 |
| 治療結果 |
メンテナンスに継続して来院頂き、⼿術後15年以上経過していますが、インプラントの状態は良好です。 |
| 治療期間 | 5ヶ月 |
| 治療費用 | 下顎 250万円(税込) 上顎 300万円(税込) |
| リスク | 術後の痛み、腫れ。 |
-
初診時 正面
-
治療後 正面
-
初診時 左側

-
治療後 左側
-
初診時 右側
-
治療後 右側
-
術後上顎(オール・オン6)
-
術後下顎(オール・オン4)
-
手術当日 仮歯
-
術後レントゲン
術後15年以上が経過していますが、インプラントの状態は良好です。
いのうえまさとし歯科医院へのアクセス
京都市営地下鉄烏丸線「北大路駅」より徒歩20分





